Help make sure
people like Luisa
aren't left behind. Please donate today to help drive the
research needed to improve survival for
people with brain cancer. Help make sure
people like Luisa
aren't left behind. Please donate today to help drive the
research needed to improve survival for
people with brain cancer.
Please donate today
People in their 30s and 40s never imagine they’ll be told they have a brain tumour – or that it could one day take away their ability to speak.
Most devastating of all, they never expect to miss out on seeing their children grow up.
Yet this is the reality for people diagnosed with a low-grade glioma known as oligodendroglioma – a rare, slow-growing brain tumour that often strikes in the prime of life.
Brain cancer survival has only improved by 3% in the past decade. Despite ongoing research, low-grade gliomas such as oligodendroglioma still receive far less research attention than high-grade gliomas. As a result, patients often face limited treatment options and unclear pathways for care.
Cure Brain Cancer Foundation is working to change this. Your support can help fund vital research, improve patient care and give people with brain cancer a better chance to live longer, fuller lives.
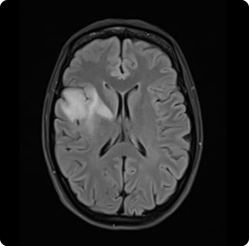
Scan of Luisa’s brain, showing her tumour.
“The treatment options have barely changed in the last 30 years. It’s heartbreaking, because it’s such a horrible disease.”
- Luisa
Luisa was 38 when she was diagnosed with brain cancer – a young mum with two small children. What started as a routine check for sinus pressure unravelled overnight when she got the call that something was wrong on her scan.
A wave of panic hit her as she faced the unthinkable: “How long do I have?”
Scans showed a Grade 2 oligodendroglioma sitting in a delicate area of her brain, dangerously close to the regions responsible for speech. Surgeons warned that operating could rob her of her ability to speak or cause irreversible brain injury. The only option they could offer was “watch and wait” – knowing she’d likely have no more than ten years to live.
For Luisa, that wasn’t an option. Not with two small children who needed their mum.
She found a specialist overseas who performed a six-hour awake surgery and removed 80% of the tumour. Luisa is now on a promising medication to slow the progression of the remaining cancer but still has no certainty about how much time she will have with her children.
And through it all, Luisa remembers one thing clearly:
“When I needed support, there was nothing.”
No one facing brain cancer should ever feel this alone or without options. Your generosity can change that – funding the world-class research, advocacy and support people like Luisa urgently need. Please donate today.
You can help change the future
for people with brain cancer
People like Luisa shouldn’t face limited treatment options,
frightening uncertainty or a lack of support. Together, we can change
what’s possible for people with brain cancer. Your donation helps us to:
Fund world-class research
Supporting innovative scientists
like Dr. Olga Zaytseva, whose work is uncovering smarter, targeted treatments for rare brain cancers.
Advocate and raise awareness
Driving change at every level, including advocating for breakthrough treatments
to become accessible and affordable for all patients.
Provide practical and
emotional support
Ensuring no family has to go through a brain cancer diagnosis and treatment alone.
Behind every breakthrough is someone like Dr. Zaytseva
Dr. Olga Zaytseva has dedicated her career to studying low-grade gliomas – the rare, slow-growing but devastating tumours that often receive less funding.
“We’re trying to make progress for these patients so that no patient gets left behind.”
– Dr. Olga Zaytseva
Dr. Olga Zaytseva knows firsthand how profoundly these tumours affect people in the prime of their lives: “These patients are diagnosed at 30 or 40 years old… seizures, cognitive decline, behavioural changes. All these devastating symptoms can develop over a decade or more – stripping away independence and leaving families in constant uncertainty.”
Supported by a Cure Brain Cancer Foundation Early Career Fellowship, Dr. Zaytseva works closely with doctors, surgeons and pathologists at The Canberra Hospital. Together, they’ve created the ACT’s first brain cancer biobank, now part of a national network helping researchers across Australia access critical samples and data.
Her goal is to transform what treatment, and life, looks like for people like Luisa. Your gift can help ensure research like Dr. Zaytseva’s moves forward faster.
The search for smarter, targeted treatments
To develop new treatments for oligodendroglioma, researchers first need to understand how these tumours begin and grow. Dr. Zaytseva’s team is investigating FUBP1 – a gene commonly mutated in oligodendroglioma and thought to play a crucial role in the earliest stages of tumour development. When FUBP1 loses its function, the normal controls on cell growth break down. And because this gene can’t be targeted directly with current therapies, researchers need new ways to intervene.
The researchers use powerful lab models to observe how brain cells behave when FUBP1 is damaged. By using organoids – miniature brain tumours grown in the lab from patient cells – they can better understand how these changes impact cancers in real patients.
Together, this work builds the foundation for future treatments that could one day target FUBP1-driven oligodendroglioma more effectively — offering new pathways toward better outcomes for patients.
This is the kind of world-leading research your support makes possible — research that could transform what a diagnosis of oligodendroglioma means for future patients.
Microscopic view of brain organoid, used in Dr. Zaytseva’s research.
Too many people with brain cancer are being left behind. Will you help change that?
Behind every diagnosis is a family like Luisa’s – suddenly facing fears they never imagined. And behind every breakthrough is a researcher like Dr. Zaytseva, working towards developing new therapies and a brighter future.
Your generosity brings these two worlds together, ensuring that no one with brain cancer is left behind. Please donate today.
James just donated $212.93
Maureen just donated $100.00
Sandra McNee just donated $106.12
Gwen just donated $54.12
Lauren just donated $54.12
Laura just donated $22.58
Jill just donated $1040.00
Marianne just donated $50.00
Giang just donated $1.95
Marie just donated $54.12
Roger just donated $500.00
Luke just donated $54.12
Nicholas Patrick just donated $106.12
Olivia just donated $150.00
Eleanor just donated $50.00
Toni just donated $2.11
Rosa just donated $54.12
elen just donated $150.00
Gillian just donated $4.04
Tom just donated $33.15


